What is a CBCT
Introduction
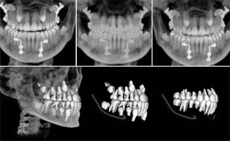
Dental CT scans, also known as cone beam computed tomography (CBCT), are advanced imaging techniques used by dental professionals to get a comprehensive view of the teeth, jaws, and surrounding structures. In this blog post, we will discuss what a dental CT scan is and why you might need one.
What is a Dental CT Scan?
A dental CT scan is a type of X-ray that produces 3D images of the teeth, jaws, and surrounding structures. This technology is particularly useful in surgical planning for dental implants, as it can provide detailed information on bone quality and nerve canals. Unlike traditional X-rays, which only show a flat image of the teeth and jawbone, a CT scan provides a more detailed and accurate picture of the area.
Why Do You Need a Dental CT Scan?
Dental CT scans are necessary for a variety of reasons. For example, they can help diagnose and treat conditions such as impacted teeth, cysts or tumors, bone defects, or nerve canal involvement that could affect treatment. They are also useful in planning for dental implants, root canals, wisdom teeth extractions, and orthodontic treatments such as braces or Invisalign.
The accuracy of the scans allows dentists to identify areas of decay around existing fillings or crowns that might not be visible with traditional radiographs. This helps to ensure that any potential problems are addressed before they worsen and cause further damage. Furthermore, the 3D images produced by the CT scan allow dentists to view the mouth from all angles in order to get an accurate picture of what is going on inside the mouth. This helps them to assess any potential risks associated with various dental treatments and make informed decisions accordingly.
Conclusion
Dental CT scans are an important tool in modern dentistry. They provide detailed and accurate information that can be used to diagnose and treat a wide range of dental issues. If you are experiencing any dental issues or are considering dental implant surgery, talk to your dentist about the benefits of a dental CT scan.




